Salzburgo: Cultura bajo la COVID o cómo disfrutar de la ópera con mascarilla
Mascarillas, test, distancia. El vocabulario cotidiano de la pandemia se [...]
Mascarillas, test, distancia. El vocabulario cotidiano de la pandemia se [...]
El Ministerio de Cultura dio a conocer su beneplácito por [...]
Tras convocatoria hecha por el ministro de Salud, Luis Francisco [...]
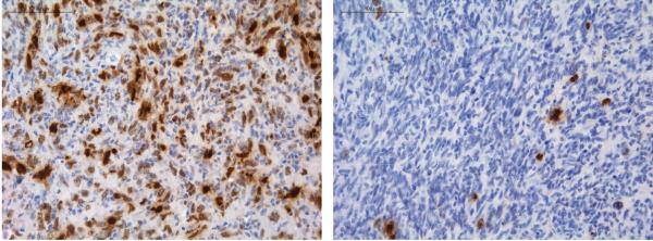
Un equipo internacional de investigadores ha descubierto cómo algunos gliomas [...]
El estatal Grupo de las Industrias Biotecnológica y Farmaucética de [...]
El gigante tecnológico Facebook alquiló todo el espacio de oficinas [...]
El presidente estadounidense, Donald Trump, dio hasta el 15 de [...]
Con el apoyo de la Policía Ecológica, Funcionarios de la [...]
Una consulta que busca recoger propuestas y consideraciones del sector [...]
Desde hace dos semanas el vivero de tortugas, construido a [...]